摘要:宮頸糜爛是一種常見的婦科疾病,其癥狀包括陰道異常出血、分泌物增多等。宮頸糜爛可能影響女性生育能力和生活質量。了解癥狀、預防和治療至關重要。預防措施包括保持個人衛生、避免不潔性行為等。治療方法包括藥物治療、物理治療和手術治療,根據病情嚴重程度選擇合適的治療方式。建議定期進行婦科檢查,及早發現并治療宮頸糜爛。
本文目錄導讀:
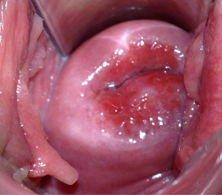
宮頸糜爛是一種常見的婦科疾病,很多人對宮頸糜爛的癥狀并不十分了解,本文將詳細介紹宮頸糜爛的癥狀,以及如何通過預防和治療來應對這一問題,幫助女性朋友們更好地關注自身健康。
宮頸糜爛的癥狀
1、陰道異常出血:宮頸糜爛患者可能出現陰道異常出血的癥狀,包括性交后出血、月經周期延長、月經量增多等。
2、疼痛:宮頸糜爛患者可能出現盆腔疼痛、下腹部疼痛等癥狀,尤其在性交時疼痛可能加重。
3、分泌物增多:宮頸糜爛患者常有大量清澈或膿性分泌物,可能伴有異味。
4、尿路癥狀:由于分泌物增多,可能導致尿路感染,出現尿頻、尿急、尿痛等癥狀。
5、性交不適:由于宮頸糜爛引起的疼痛,可能導致性交不適或疼痛。
宮頸糜爛的影響
宮頸糜爛不僅影響女性的生活質量,還可能引發一系列并發癥,長期不治療可能導致宮頸細胞異常變化,甚至發展為宮頸癌,了解宮頸糜爛的癥狀,及時進行檢查和治療至關重要。
宮頸糜爛的原因
宮頸糜爛的原因可能包括:性生活過早、多個性伴侶、性生活過度頻繁、多次流產等,長期慢性炎癥刺激、雌激素水平異常等因素也可能導致宮頸糜爛。
宮頸糜爛的診斷與治療
1、診斷:醫生會通過婦科檢查、宮頸刮片等方法來診斷宮頸糜爛,還可能進行HPV檢測等進一步檢查,以排除宮頸癌等嚴重疾病。
2、治療:宮頸糜爛的治療方法包括藥物治療、物理治療和手術治療,具體治療方法需根據患者的具體情況和醫生的建議來確定。
如何預防宮頸糜爛
1、保持良好生活習慣:保持性生活衛生,避免性生活過早、多個性伴侶等。
2、定期進行婦科檢查:定期進行婦科檢查有助于及時發現宮頸疾病,及時進行治療。
3、注意個人衛生:保持外陰清潔,避免使用刺激性強的洗滌用品。
4、增強體質:加強鍛煉,提高身體免疫力,有助于預防宮頸疾病。
5、均衡飲食:保持均衡的飲食,攝入足夠的營養,有助于身體健康。
宮頸糜爛的注意事項
1、關注自身癥狀:女性應關注自身身體狀況,如出現宮頸糜爛的癥狀,應及時就醫。
2、遵循醫生建議:在醫生的指導下進行治療,避免自行用藥或采用不當的治療方法。
3、保持樂觀心態:保持積極樂觀的心態,有助于身體健康和疾病的康復。
4、避免過度治療:宮頸糜爛的治療需根據患者的具體情況進行,避免過度治療帶來的不必要的身體負擔。
5、定期復查:治療后應定期進行復查,以確保宮頸恢復健康。
宮頸糜爛是一種常見的婦科疾病,了解其主要癥狀對于早期發現和治療至關重要,通過保持良好的生活習慣、定期進行婦科檢查、注意個人衛生、增強體質和均衡飲食等措施,可以有效預防宮頸糜爛的發生,如出現相關癥狀,應及時就醫,遵循醫生的建議進行治療,并保持良好的心態,希望通過本文的介紹,能幫助女性朋友們更好地了解宮頸糜爛,關注自身健康。
2025新澳精準資料大全,2025新澳門精準免費大全,新澳全年免費資料大全,2025年天天彩免費資料,2025澳門精準正版免費大全,2025新奧正版資料免費,2025新澳精準資料免費,2025新澳精準正版資料,2025新澳正版資料最新更新,新奧天天精準資料大全,2025新澳資料大全免費,2025正版資料免費公開,新澳2025正版免費資料,2025新澳精準資料免費提供下載,新奧長期免費資料大全,新澳新澳門正版資料,2025新澳正版免費資料大全,新奧精準免費資料提供,新澳精選資料免費提供新澳精準資料免費提供網,新澳精準資料免費提供網,新澳正版資料免費提供,2025澳門天天開好彩大全46期,新奧最快最準免費資料,新澳正版資料免費大全,2025新奧精準正版資料,2025年新奧正版資料免費大全,新澳準資料免費提供,新澳資料免費精準期期準,2025新澳資料免費大全,2025全年資料免費大全,2025新澳最快最新資料,2025新澳正版免費資料,新澳今天最新免費資料,新澳今天最新資料2025,2025新奧精準資料免費大全,2025澳門正版免費資料,2025正版資料免費大全,2025澳門精準正版免費,2025年天天彩免費資料,2025澳門天天開好彩,澳門天天彩期期精準,新澳門免費精準大全,2025天天彩免費資料,2025正版資料免費公開,澳門天天開彩期期精準,2025精準免費資料查詢,2025澳門免費精準大全,澳門天天彩免費精準大全,2025精準資料免費提供最新版,新澳2025最新資料大全,2025澳門正版資料大全,2025精準資料免費大全,新澳門精準免費大全,7777788888澳門王中王2025年,2025新澳門天天免費精準,2025澳門精準免費大全,澳門天天彩精準免費大全,2025年澳門天天開好彩,2025年澳門天天彩資料,2025年天天開好彩大全,澳門一碼一碼100精準,澳門天天彩期期精準單雙波色,澳門管家婆100%精準準確,新澳大全2025正版資料,2025新澳精準免費大全,新澳門天天免費精準大全,澳門天天免費精準大全,2025天天彩全年免費資料,2025最新免費資料大全,新澳門最精準更新最快,2025澳門精準正版澳門,澳門一肖一碼一待一中,2025年澳門天天有好彩,2025新澳門精準正版免費,2025新澳門最精準免費大全,2025澳門天天開好彩大全65期,澳門精準正版免費大全14年新,澳門天天開好彩正版掛,2025年新澳門天天開好彩,2025新澳門全年免費,澳門精準正版免費大全,澳門天天免費精準大全公開,2025年天天開好彩資料,2021澳門天天開彩,澳門免費精準材料資料大全,2025年澳門正版大全,新澳門2025最精準免費大全,2025年天天彩精準資料,2025新澳天天彩資料,2025新澳正版資料大全,澳門天天好好免費資料,2025新澳門正版大全,2025新澳門天天免費精準大全,2025澳門精準正版掛牌,2025全年免費資料大全,澳門管家婆100%精準圖片,澳門一肖一碼一一特一中,新奧精準免費提供澳門,澳門天天好掛牌正版,2025新澳門精準正版,二四六天好彩944cc246天好資料,2025年新澳門正版免費,新澳門最精準正最精準龍門,2025澳門天天有好彩,2025新澳門精準免費提供,澳門天天彩期期精準新,2025澳彩免費資料大全,澳門天天彩免費大全,2025天天彩正版免費資料,新澳門最精準免費大全,2025年澳門正版免費,2025年全年資料免費大全,2025精準資料免費提供,澳門正版免費精準大全,正版資料免費大全,澳門傳真免費費資料,2025澳門精準正版資料,2025年新奧正版資料,2021澳門天天開獎結果,新2025澳門天天開好彩,新澳門精準正版免費提供,2025年正版資料免費大全,7777788888精準新傳真,2025全年資料免費公開,二四六天好彩944CC資料大全,天天開好彩免費資料,港彩二四六免費資料,澳門管家婆100%精準天天,天天澳門彩期期精準,澳門精準正版資料大全免費閱讀,澳門二四六天天免費好資料,2025新奧天天開好彩,2025新澳門天天開好彩,今晚澳門9點35分開獎結果,2025新奧最新資料大全,新澳門王中王100%期期中,2025澳門特馬今晚開獎,王中王資料大全料大全1,今晚新澳門9點35分開獎結果,2025年新澳門天天開彩資料,2025澳門特馬開獎結果,2025新澳門天天開好彩大全,777788888管家婆免費,2025新澳門特馬今晚開獎掛牌,新澳最精準正最精準龍門,777778888精準免費四肖,新2025年澳門天天開好彩,新奧2025資料大全最新版本,新澳2025精準正版免費資料,澳門九點半9點半網站,2025新奧原料免費大全,派幣2025年官方最新消息,新澳2025年最新版資料,新奧最精準免費大全功能介紹,2025澳門特馬今晚開獎掛牌,澳門一肖中100%期期準海南特區號,新澳今天晚上9點30分開門嗎,2025年新澳門特馬今晚,白小姐資料大全+正版資料白小姐奇緣四肖,新奧2025資料大全,22324濠江論壇一肖一碼,2025年新澳門天天開好彩大全,2025新澳門天天開獎記錄,2025新奧最精準免費大全,今晚開一碼一肖,小77論壇大陸最新版本更新內容,2025澳門天天開好彩大全體育,新奧精準免費提供網料站,新澳今天晚上9點30分,正版資料免費資料大全最新版本,2025澳門特馬今晚開獎138期,新澳天天開獎資料大全600tKm,澳門廣東八二站資料,新奧今晚9.30分開什么,2025今晚澳門天天開彩免費,新2024年澳門天天開好彩,新奧今晚上開獎9點30分6,今晚澳門9點35分開獎,2025特馬今晚開獎,2025新澳門特馬今晚開,白小姐今晚特馬期期開獎六,澳門一碼一碼100準確a07版,新門內部資料精準大全,澳門新奧9點30分最新消息,新澳今晚特9點30開什么,最準一碼一肖100%鳳凰網,新澳門今晚買什么特馬,2025澳門特馬今晚開獎結果,王中王免費資料大全料大全一一l,新奧天天開彩免費公布,澳門彩天天期期精準單雙波色,7777888888管家婆網一,今晚澳門特馬開獎結果,新奧最精準免費大全官方版亮點分享,香港二四六天天免費開獎,一肖一碼,2025澳門開獎結果,2025新澳門正版免費掛牌燈牌,2025年新澳門天天開獎免費查詢,王中王72396王中王開獎結果,2024新澳門正版免費資本車,澳門六和彩資料查詢2025年免費查詢01-32期,新澳今晚開獎結果,二四六香港資料期期中準,六和彩開碼資料2025開獎結果香港,新澳天天彩資料大全最新版本,2025澳門今晚開獎結果,2024新澳門正版免費,管家婆期期四肖四碼中特管家,新澳門三期內必出生肖,新澳門精準四肖期期準億彩網,WW777766香港開獎記錄查詢2023,7777788888新澳門,一肖一碼100%中,新澳門今晚9點30分開獎結果,龍門客棧澳門資料,7777888888精準新管家,管家婆一碼一肖100中獎,2025澳門精準正版圖庫,新奧800圖庫800圖片,600圖庫大全免費資料圖2024197期,77777888管家婆四肖四碼,72396王中王開獎結果,新澳天天開獎資料大全62期,新澳門最準的四肖期期準,最準一肖一碼一一香港澳王一王,2025澳門六今晚開獎,7777788888澳門王中王2025年,澳門最精準正最精準龍門客棧,澳彩資料免費的資料大全wwe,今天晚9點30開特馬開,新奧門六和彩今晚開獎資料,新澳門今晚9點30分開獎,2024澳門特馬今期開獎,2024新澳門原料免費大全,55123新澳門開獎結果查詢,澳門今晚開特馬+開獎結果課優勢,37197com澳彩資料查詢資料,王中王72396王中王開獎結果記錄,2024新澳三期必出一肖,2024澳門特馬今晚開獎現場實況,新澳今晚上9點30開獎結果,777888精準管家婆免費,2025澳門天天彩正版歇后語精準,2024年澳門大全免費金鎖匙,2024新奧原料免費大全,4924全年免費資料大全,4949cc澳彩資料大全正版,王中王72396免費版功能介紹,小魚兒玄機二站資料提供資料,新奧2024年免費資料大全,新澳門一肖一特一中,二四六香港資料期期準中特,澳門一肖一特一中,二四六香港資料期期中準頭條,7777788888精準管家婆,王中王100℅期期準澳彩,2024澳彩管家婆資料傳真,2024澳門天天開好彩大全蠱,77777788888王中王中2025,2025澳門特馬今晚開碼,2025今晚必出三肖,澳門管家婆100%精準,澳門今晚開特馬四不像圖,2025澳門今晚開特馬,2025年澳門今晚開獎號碼,香港資料免費資料大全,2025新年澳門天天彩免費大全,管家婆必出一中一特,2025年新澳門開碼記錄,王中王493333中特馬,2025新澳正版資料最新,2025年今晚澳門特馬開獎結果是什么,2025澳門今晚開獎號碼,2025年白小姐四肖四碼,2025年新澳最精準正最精準大全,今晚必出三肖2025,香港免費公開資料大全,2025新澳天天開獎資料大全,2025新澳門正版免費,2025澳門今晚開獎記錄,管家婆100%中獎,最準一肖一碼一孑一特一中,2025年澳門特馬今晚號碼,今晚澳門9點35分開什么,澳門一肖一碼100%期期精準/98期,澳門最精準免費資料大全旅游團,2025澳門今晚必開一肖,管家一肖一碼100中獎,2025年澳門歷史記錄,2025澳門特馬今晚開什么碼,2025新澳門天天開獎記錄查詢,澳門一碼一特一中準選今晚,2025今晚澳門開什么碼,管家婆100期期中管家,7777888888精準管家婆,2025年今晚澳門開獎結果,新澳2025今晚開獎資料匯總,今晚澳門9點35分開什么號碼,2025新奧精準免費,澳門王中王100%期期中,今晚澳門9點35分開06,新澳2025今晚開獎資料大全,澳門管家婆100中,2024澳門精準正版免費,2025澳門開獎結果查詢,澳門一碼一肖一特一中是合法的嗎,2025澳門特馬今晚開獎結果出來了,7777788888王中王開獎十記錄網一,7777788888精準一肖,澳門一肖一碼一必中一肖雷鋒,今晚9點35出結果,新澳2025今晚特馬開獎結果查詢表,2025澳門天天開好彩精準,7777788888管家婆老家,2025新澳特今天的消息,新奧精準免費提供港澳彩,2025新澳門開獎查詢,2025新門最準最快資料,最準一肖一碼一子中特7955,新奧最精準免費提供,最準一肖一碼100%噢,2025新澳門開碼結果查詢,管家婆必出一中一特100,2025年的新澳正版資料,今晚澳門特馬必中一肖,2025新澳三期必出一肖,最準一碼一肖100精準老錢莊揭秘,最準一碼一肖100%噢,62827·cσm查詢澳彩最新消息,新澳今天晚上9點35分,2025新澳門今晚特馬,7777788888王中王中特,7777788888管家婆免費,最準一肖一碼一一子中特7955,2025新澳門正版免費大全,777788888最精準四肖中特,2025新澳門開獎結果記錄,管家最準一碼一肖100%,新澳門六最新資料,2025澳門六今晚開獎號碼,2025年新澳門免費大全,2025新澳門正版免費正題,2025澳門特馬開獎查詢,最準的一肖,新澳門王中王100期期中,婆家一肖一碼100,2025年今晚澳門特馬,2025澳門開獎結果記錄,2025新澳門最精準正最精準龍門,澳門管家一肖一碼一開,2024澳門六今晚開獎結果出來,2025澳門天天開獎大全,7777788888精準四肖,2025年澳門特碼開獎結果,最準一肖一碼一一中一特,香港特馬資料王中王,今晚必出三肖,馬會傳真資料2025澳門,香港免費大全資料大全,澳門最準一肖一碼一碼孑,2025天天開彩資料大全免費,2025新澳門天天開獎免費查詢,澳門一碼一肖一待一中直播,新澳門全年免費料精準,2025新澳今晚最新資料,7777788888精準新免費四肖,澳門一肖一碼100%準確?,澳門一碼一肖一特一中是公開的嗎,2025新澳門開碼記錄,2025新澳正版資料最新更新,2025澳門特馬今晚開獎億彩網,澳門一碼一肖一特一中管家,澳門最精準正最精準龍門,一肖一碼一一肖一子深圳,2025澳門特馬今晚開獎49圖片,今晚澳門9點35分開獎結果2025,2025澳門天天開彩資料大全,澳門一肖一碼一必中一肖同舟前進,新澳2025天天正版資料大全,新澳2025年正版資料,新澳門平特一肖100期開獎結果,最準一肖100%中一獎,新澳天天開獎資料大全最新100期,2025新澳門正版掛牌,2025今晚新澳門開獎號碼,新奧最精準免費大全,澳門管家婆100中獎,2025年澳門天天彩正版免費大全,2025新澳門碼今晚開獎結果,新澳2025今晚特馬開獎結果,管家婆必出一中一特100%,2025年澳門免費資料,正版資料,2025年新奧正版資料最新更新,777788888管家婆中特,100%準確一肖一.100%準新澳今晚上9點30開獎直播,2025澳門特馬今晚開獎49,新澳門最精準確精準,新奧精準精選免費提供,澳門精準一肖一碼一一中,2025年澳門正版免費大全,2025天天開彩資料大全,7777888888精準新傳真,62827cσm澳彩資料查詢優勢,新澳天天開獎資料大全正版,2025年新澳門天天開獎結果,新澳2025今晚開獎結果是多少,澳門彩開獎結果2025開獎記錄,2025年正版資料全年免費,2025正版新奧管家婆香港,澳門一肖一碼100%精準王中王,2025新澳歷史開獎,2025澳門歷史記錄,2025新澳門正版免費正題,新澳門2025年正版免費公開,新澳三期必出一肖,澳門一碼一碼100準確,77777788888王中王中特亮點,2025澳門正版今晚開獎結果,2025天天開彩免費資料,2025新澳門天天精準免費大全,7777788888管家精準管家婆免費,2025年澳門開獎結果,曾道道人資料免費大全,2025今晚澳門開獎結果,2025年澳門彩開獎記錄,7777788888管家精準一肖,77778888精準管家婆免費,新2025澳門兔費資料,澳門正版免費全年資料,澳門一碼一肖一待一中四,澳門一碼一碼100準確,2025全年資料免費,新澳今晚上9點30單雙參考,澳門一碼一肖一待一中四不像一,澳門三肖三淮100淮,新奧天天開獎資料大全1052期,2025年新澳門全年免費,新澳門精準正最精準澳門一碼一肖一特一中詳情,二四六香港資料期期中,澳門王中王100期期準,管家一肖一碼100%中獎一,澳門一肖一碼100%準確落實,王中王100%期期準澳彩,2025年新澳天天開獎,新澳2025今晚開獎資料查詢結果,2025港六今晚開獎號碼,2025年新澳門天天開獎記錄,澳門最準內部資料期期,新澳門開獎結果2025開獎記錄查詢表,王中王一肖一碼一中一MBA,新澳今天最新資料2025,新澳2025年正版資料大全,新澳資料大全正版2025 ,新澳大全2025正版資料,


魯ICP備18057106號-1
魯ICP備18057106號-1
還沒有評論,來說兩句吧...